作為一名關注育兒健康的社會新聞小編,最近在親子論壇刷到一則令人揪心的求助——6歲孩子乳牙恒牙重疊導致無法正常進食,這場關于「小牙齒大麻煩」的討論,折射出許多家庭面臨的兒童口腔健康困境。

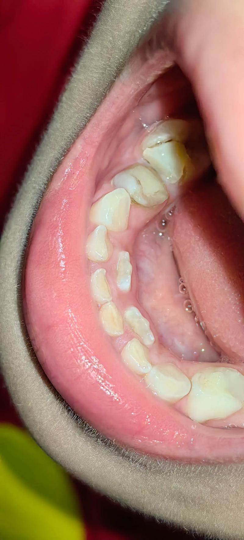
推文母親焦急描述:六歲兒子大牙層層疊疊生長,吃瘦肉就塞牙嗷嗷喊疼,日常需牙簽摳挖,孩子因恐懼已拒絕瘦肉硬食,只吃軟飯導致消瘦變形。
網友迅速留言給建議:
「乳牙沒掉,恒牙也長出來了,找個一般牙科醫生把乳牙拔掉。用不著到大醫院。才六歲,用不著矯正,過段時間恒牙自己慢慢地就歸位了。」,「我兒子小時候去看牙科,遇到個更小的小男孩也看牙科,拍的那個片把我們所有人都驚呆了,比圖中這個更嚇人,里三層外三層,密密麻麻看著有點恐怖」「太溺愛孩子了,只吃軟的也是害了孩子,給孩子吃點硬的東西,比如炒黃豆,五香豆之類的會好點,舊牙必須去醫院拔掉,不然影響新牙」

看完這個案例,我瞬間想起侄子換牙時雙排牙的窘迫。完全能體會這位媽媽夜不能寐的焦慮——就像看著小花盆里擠爆的幼苗,既心疼又無力。網友說的「拔乳牙」建議特別實在,那種「過來人」的篤定感,像極了小區寶媽群分享育兒經的熱乎勁。但那個「里三層外三層」的案例又讓人心里發毛,仿佛看到滿嘴牙齒打架的恐怖片。這種又急又怕的心情,就像明知該帶孩子看牙醫,卻總想著「能不能自己搞定」。

此事暴露出兒童口腔健康管理的三大盲區:1. 乳牙恒牙替換期的監護缺位(家長缺乏辨識異常征兆的知識);2. 民間偏方與專業診療的認知錯位(「吃硬食」不能替代醫療干預);3. 口腔問題引發的營養危機(牙齒問題導致進食障礙形成惡性循環)。它用一口「疊羅漢」的牙齒提醒我們:孩子的吃飯問題從來不是小事,當牙齒成為進食的攔路虎時,專業的醫療干預比一百個民間偏方都更重要——因為每一口飯,都是孩子長大的能量。